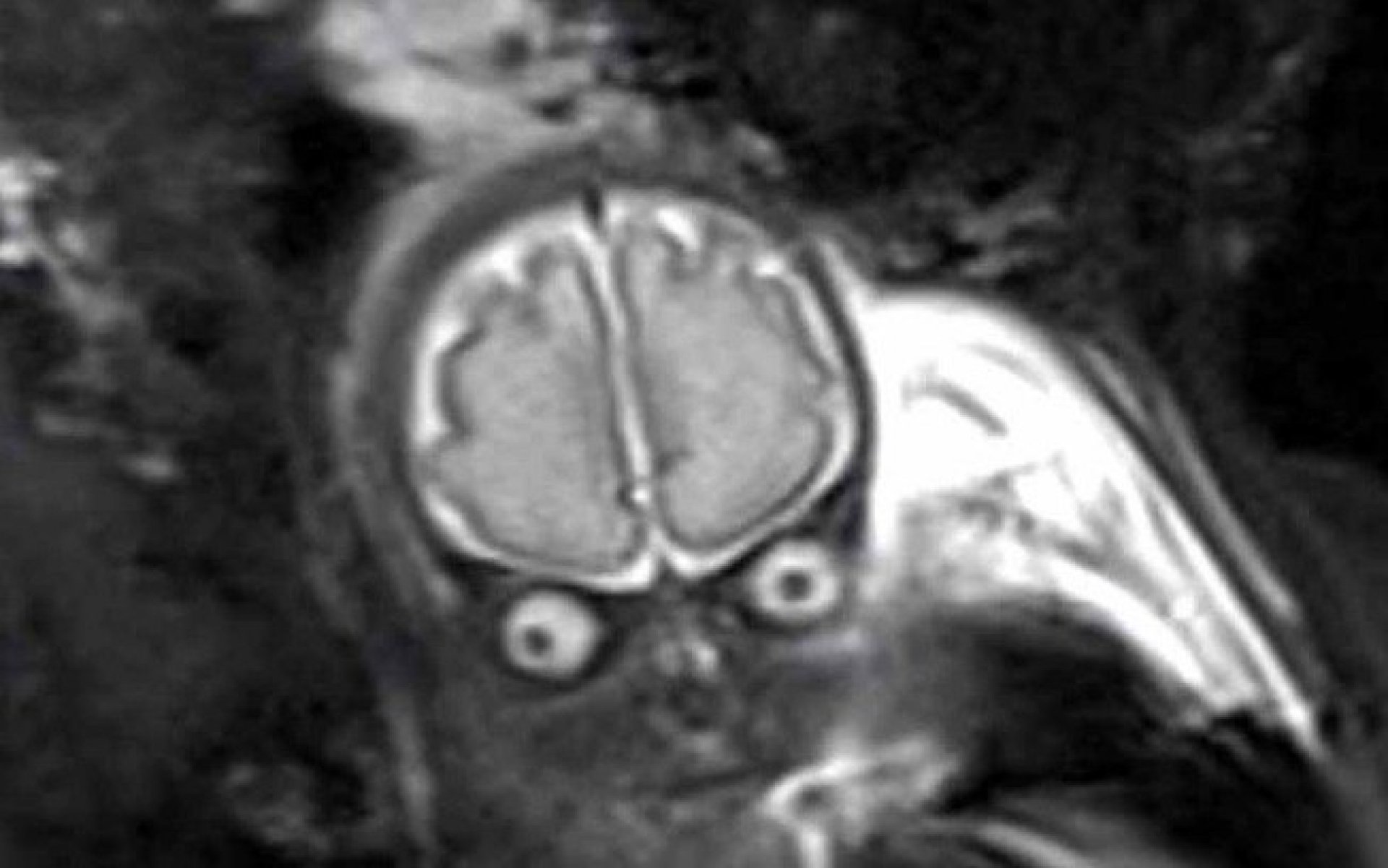
Ao identificarem uma quantidade estranha de líquido no cérebro do bebê Lucas, médicos informaram aos pais que seria necessário fazer uma tomografia para saber se estava tudo bem com ele. O resultado porém, assustou os médicos e também os futuros papais. No exame, muitos acreditaram que o feto se parecia mais com um E.T.
Antes de mostrar o resultado, os médicos decidiram preparar a mãe Laura e falaram que ela não veria a criança como costuma ver em outros casos de gravidez. Segundo o canal do Youtube Inside Edition, os pais ficaram surpresos e em estado de choque, mas depois conseguiram levar numa boa e se divertiram com a situação.
Apesar do susto, os pais tiveram a notícia que realmente importava: Estava tudo bem com o pequeno Lucas. Laura e o marido disseram que ficaram aliviados e a notícia trouxe a calma que precisavam.

