Mais Lidas

Criança de 3 anos sobrevive milagrosamente após agulha de tricô perfurar seu cérebro

Menina estava pulando na cama com objeto durante brincadeira em que fingia ser fada

Criança de 3 anos sobrevive após agulha de tricô perfurar seu cérebro
Criança de 3 anos sobrevive após agulha de tricô perfurar seu cérebro -
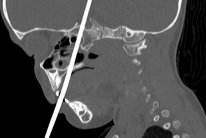
Uma criança de três anos teve a cabeça perfurada por uma agulha de tricô enquanto brincava que era uma fada. Ela estava pulando em cima de uma cama quando se desequilibrou e caiu. O objeto entrou pela boca da menina, perfurou o crânio e atingiu o cérebro.
Ela foi levada às pressas ao hospital, que fica em Utah, nos Estados Unidos, e os médicos descobriram que a agulha atingiu a hipófise e o hipotálamo, regiões responsáveis por hormônios e pela coordenação dos movimentos do corpo. Por mais que ela estivesse sangrando muito, uma tomografia mostrou que os pequenos vasos sanguíneos dela estavam a salvo. 
A história da "menina mais sortuda do mundo" virou artigo na revista Journal of Pediatric Otorhinolaryngology Case Reports. Segundo o médico da Universidade de Utah e autor do trabalho, Matthew Miller, esse tipo de caso é inédito, já que de 70% a 90% das vítimas não conseguem chegar vivas ao hospital e metade dos que conseguem morre por causa da gravidade das feridas. Por mais que a criança não tenha danos graves, ela precisará fazer acompanhamento médico pelo resto da vida. As informações são do Daily Mail.